Preguntas frecuentes
de pacientes
de profesionales de la salud
1.- Mi hijo/a tiene 5/9 años- ¿ Espero al recambio de dientes temporarios o comienzo ahora el tratamiento?
Los estudios de investigación concluyen que el 78,8% de los niños requieren algún tipo de tratamiento interceptivo ¿ Que significa tratamiento interceptivo? Que el tratamiento intercepta el daño que puede provocar el NO uso de la aparatología.
2.- ¿ Cual es la edad ideal para consulta con el ortodoncista?
A partir de los 5/6 años ya se realizan algunos tratamientos interceptivos. Idealmente la primera consulta no debería ser muy lejana a esas edades.
3.-¿ Que consecuencias puede traer esperar el recambio de dientes sin tratamiento adecuado?
Problemas de la articulación que se ve limitada en su normal desarrollo y función, problemas respiratorios, de deglución y digestivos, caries por dificultad de acceso a la higiene, tener que sacar piezas de adolescente/adulto para compensar la falta de espacio, como asi también no poder compensar y en algunos casos hasta necesitar cirugía ortognática, entre otros.
4.- ¿Que medicación se sugiere si la ortodoncia fija genera dolor?
Hay estudios que demuestran que el ibuprofeno detiene el movimiento de ortodoncia por ser antiinflamatorio. En casos que el dolor sea provocado por las fuerzas de ortodoncia conviene tomar PARACETAMOL, pero por supuesto tiene que estar supervisado por su especialista. Además, se pueden consumir alimentos fríos que tienen efecto antiinflamatorio local, contribuyendo a disminuir las molestias
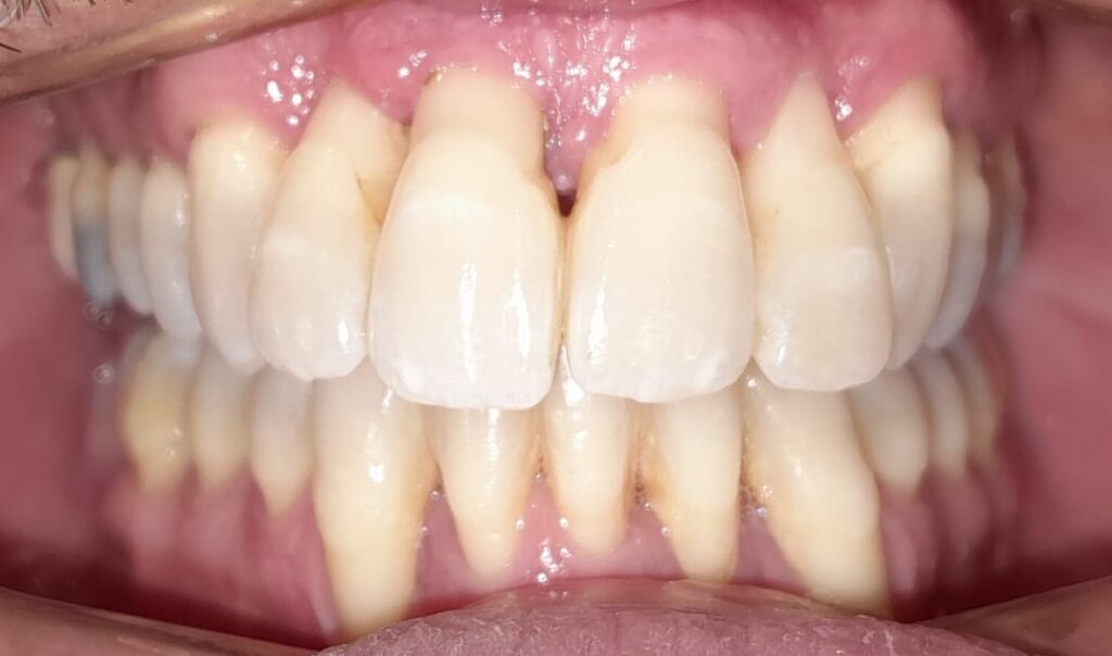
1.- Tengo un paciente con problemas periodontales ¿ Cuando es el momento adecuado para comenzar un tratamiento de ortodoncia si es posible?
No en todos los casos de pacientes con problemas periodontales es posible el abordaje con ortodoncia, pero algunos estudios sugieren que se pueden tratar si no presenta una enfermedad periodontal activa, que el paciente haya logrado detener la pérdida de inserción y la pieza no presente movilidad. Cada caso clínico debería evaluarse en particular pero el tratamiento de ortodoncia en estos pacientes suele ser muy beneficioso para detener el impacto de las fuerzas masticatorias disfuncionales que de no tratarse incrementarían el riesgo de pérdidas dentarias. En el ejemplo vemos paciente masculino de 35 años de edad con enfermedad periodontal severa, movilidad en piezas dentales. Se logró detener el avance de la enfermedad y se regularizo su oclusión con tratamiento de ortodoncia. La segunda foto corresponde a un control a 5 años de finalizado el tratamiento de ortodoncia. Sin signos de PS aumentado.
2.- Hay alguna condición al tratar pacientes periodontales o los puedo tratar con la secuencia de arcos convencional
La ortodoncia en pacientes periodontales debe realizarse con fuerzas suaves. Alambres trenzados redondos puede ser una buena opción siempre que no haya bolsa periodontal y no presente movilidad
3.-Hay alguna señal de alarma en chicos que me indique que debo derivarlo al ortodoncista a la brevedad?
Pacientes de 7 años que presenten sobremordida profunda (mas allá que sus dientes se vean prolijos), pacientes que presenten estrechez maxilar, apiñamiento, que interponga la lengua al tragar, son algunas de las alarmas que nos sugieren atención temprana de ortopedia maxilar
4.-Cual es la edad del paciente mas pequeño de intervención de la ortodoncia u ortopedia maxilar
La edad depende de la problemática a tratar. Niños con fisura de labio y/o paladar al nacer se interviene con aparatología para que pueda alimentarse y a la vez para que por medio de la succión en la placa se desarrollen mejor los maxilares, niños con tendencia a clase III de mordida maxilar han recibido aparatología para estimular el crecimiento del maxilar superior (tipo disyuntores). En lo personal prefiero, siempre que se pueda esperar, comenzar a los 5 años por la madurez y colaboración del paciente
1.- Tengo muelas de juicio retenidas/semiretenidas ¿conviene esperar, sacarlas ahora… se pueden ayudar con ortodoncia?
La respuesta a esta pregunta tiene que ver con cada paciente en particular, debe ser evaluado por odontólogo o cirujano dentomaxilar que lo asesore según la situación. En muchas ocasiones se puede extraer una pieza en mal estado si se encuentra adelante de esta en el maxilar y movilizar con ortodoncia al 3er molar (muela de juicio) para que forme parte del aparato masticatorio funcional.
2.-Cuales son las indicaciones preoperatorias de una cirugía dental?
Hay indicaciones generales que acompañan a todas las cirugías odontológicas, es necesario que las indique el profesional que realizará el tratamiento pero como norma general una cirugía con el paciente conciente requiere un desayuno previo liviano con algo de azúcar para evitar una lipotimia (desmayo). Por supuesto que cada profesional indicará la necesidad de antibiótico previo u otras indicaciones respecto al estado de salud de cada paciente. Esto es para marcar la diferencia con una cirugía que requiere quirófano con pérdida de conciencia del paciente donde la indicación es el ayuno previo.
3.-Cuales son las indicaciones posoperatorias de una cirugía dental?
Hay indicaciones generales que acompañan a todas las cirugías odontológicas, es necesario que las indique el profesional que realizó el tratamiento pero como norma general hay que cuidar el coágulo. Las recomendaciones generales son no fumar, no tomar nada con bombilla, no realizar esfuerzos, no realizar buches, no comer alimentos granulados como arroz, lentejas, durante 48 horas mínimo. Puede dormirse con la cabeza un poco más elevada que el resto del cuerpo. Si se hace enjuague no realizar succión de buche, solo dejar caer el líquido por gravedad.
1- Tengo algunos dientes con movibilidad, otros con arreglos grandes . ¿Conviene que me saque todos y me pongo implantes?
No siempre las condiciones de locales (del hueso) o del paciente (si es fumador, toma alguna medicación o tiene alguna enfermedad determinada) pueden ser propicios para colocar implantes. Los implantes tienen alto índice de fracaso si no se colocan en situaciones adecuadas. No es la solución aunque algunos pacientes piensen que es la que conviene.
2.- Siempre que tengo enfermedad periodontal me voy a curar?
La enfermedad periodontal tiene una amplia clasificación y el pronóstico depende en gran parte del tipo de enfermedad periodontal, del estadío de la enfermedad ( no hay que postergar la consulta) y mucho de la responsabilidad del paciente. Muchos pacientes consideran que si van a un profesional de renombre se van a “salvar” sus dientes. Lo mas importante es que los hábitos de higiene sean continuos, no intermitentes. Si un mes nos cuidamos y otro mes no, estoy promoviendo el avance de la enfermedad.
3.- Me dijeron que tengo periodontitis agresiva. ¿ Voy a perder piezas dentarias?
La periodontitis agresiva o similar en su clasificación actual, es una enfermedad que destruye con velocidad el soporte dentario y suele presentarse en gente joven. Hasta el momento, todos los pacientes que se presentaron (en mi consultorio) ni bien comenzaron los signos/síntomas de la enfermedad, como movilidad y migración de piezas dentarias tuvieron un alta satisfactorio, sin pérdida de piezas, con pronóstico reservado, pero sin recidiva de la enfermedad. Esto se debe a la consulta a tiempo, el tratamiento recibido y el compromiso de los pacientes con su higiene diaria.